Digital Smile Design
Perfect aesthetics in dentistry is no coincidence.
Aesthetics is an infinity conceived in something finite.
Every individual is unique, so is every smile.
The first stage for this purpose is the maximum level of communication between the dentist and the patient. Expectations should be fully understood and then an accurate treatment plan should be created.
For this purpose, the concept of Digital Smile Design has recently developed.
What is Digital Smile Design?
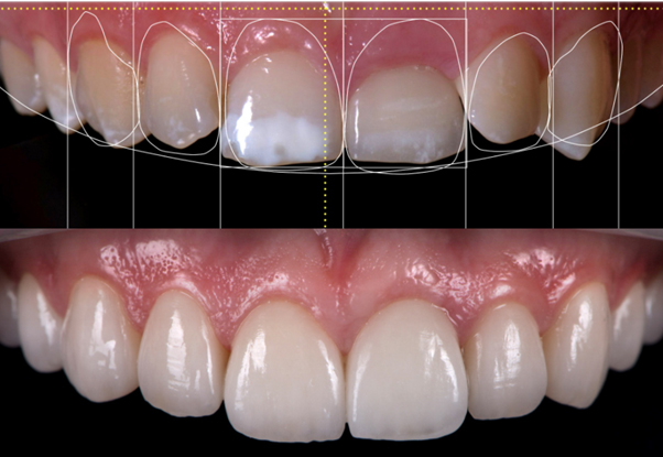
Digital smile design is the presentation of the final version of the smile to the person without any treatment on the teeth before starting the treatment. Today, when dentistry is no longer just about treatments, it is the renewal of a personalized ideal smile by applying medicine and art together. It can be summarized as the planning of a healthy, ideal smile by combining modern dentist technologies with the personal wishes of patients, health and naturalness.
Where to Start with Smile Design?
- Smile design starts with taking detailed photos and videos from many angles.
- The upper and lower jaw measurements of the person are taken and models are obtained.
- Various measurements and drawings are made on these images and models in digital environment and the most suitable smile is designed for the patient’s facial structure.
- This designed smile is transferred to the laboratory technician and a Mock Up study is made where you can see the final form of your teeth. The final stage is shown to you in the mouth before your teeth are cut. If the result is liked, dental procedures are started for the planned treatment.

